Menu

Ευχαριστήριο γράμμα από Αγγλία με πολλούς αποδέκτες και με ακόμη περισσότερες ερμηνείες!!!

     

Η ιστορία είναι απλή και ανθρώπινη. Ένας υγιής κατά τα άλλα, 54 ετών σε ηλικία, Άγγλος επιχειρηματίας, που κάνει μαζί με την οικογένειά του διακοπές σ’ ένα Ελληνικό νησί, προσέρχεται επειγόντως στα εξωτερικά ιατρεία του νοσοκομείου Metropolitan, κατόπιν συστάσεως της ιδιωτικής ασφαλιστικής του εταιρείας, λόγω ακατάσχετης μακροσκοπικής αιματουρίας.

Δυστυχώς αυτή δεν ήταν η πρώτη φορά! Και πριν μερικούς μήνες είχε το ίδιο σύμπτωμα και ο Γενικός Ιατρός που τον εξέτασε στην Αγγλία τον καθησύχασε ότι ήταν ουρολοίμωξη, του χορήγησε αντιβίωση σε χάπια, και τον έστειλε, χωρίς περαιτέρω εξετάσεις, σπίτι του.

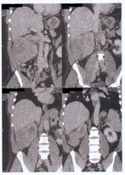
Στον έλεγχο που ακολούθησε στο νοσοκομείο Metropolitan, και τον οποίο ανέλαβε κατόπιν προσωπικής επιλογής του ασθενούς η Ουρολογική Κλινική του Δρ. Βασίλη Πουλάκη, βρέθηκε ένας ευμεγέθης 14,5 εκατοστά όγκος στον δεξιό νεφρό με πολλαπλούς παρααορτικούς λεμφαδένες έως 1,5 εκατοστά βραχείας διαμέτρου ο μεγαλύτερος, επικουρικά ευμεγέθη αγγεία να τροφοδοτούν απευθείας τον όγκο και θρόμβος στην νεφρική φλέβα και στο αρχικό τμήμα της κάτω κοίλης φλέβας.

Ο ασθενής, αφού σταθεροποιήθηκε η κλινική του κατάσταση, ενημερώθηκε για την σοβαρότητα της υγείας του και ενώ θα μπορούσε να μεταφερθεί στην Αγγλία για την παραπέρα αντιμετώπιση του προβλήματός του επέλεξε, κατόπιν οικογενειακού συμβουλίου και προσωπικών συστάσεων Ουρολόγων από μεγάλα νοσοκομεία του Λονδίνου, να παραμείνει στην Ελλάδα και να χειρουργηθεί από τον Δρ. Βασίλη Πουλάκη.

Ο ασθενής, αφού πρώτα εμβολίστηκε επιτυχώς ο νεφρικός όγκος από τον επεμβατικό Ακτινολόγο Δρ. Γεώργιο Παπαγεωργίου, χειρουργήθηκε ρομποτικά, με το υπερσύγχρονο ρομποτικό σύστημα da Vinci Xi, από τον Δρ. Βασίλη Πουλάκη και τον βοηθό του Δρ. Βασίλη Μώρο. Κατά την διάρκεια της ρομποτικής επέμβασης διενεργήθηκε ριζική αφαίρεση του νεφρού μαζί με τους διογκωμένους επιχώριους λεμφαδένες, ενώ ο θρόμβος του όγκου ήταν στο αρχικό τμήμα της νεφρικής φλέβας αφαιρέθηκε μαζί (en block) με το συνολικό χειρουργικό παρασκεύασμα, με ειδική αγγειοχειρουργική τεχνική (“milking”), επίσης ρομποτικά χωρίς να μετατραπεί το χειρουργείο σε ανοιχτό. Τέλος, κατά την διάρκεια της ρομποτικής επέμβασης, ανευρέθηκαν, στην εξωτερική επιφάνεια του ήπατος που ήταν σε επαφή με τον νεφρικό όγκο, 3 ογκίδια διαμέτρου περίπου 1,5 με 2 εκατοστά, τα οποία δεν μπορούσαν να φανούν στην προεγχειρητική αξονική και μαγνητική τομογραφία. Τα ογκίδια αυτά του ήπατος θεωρήθηκαν ύποπτα ηπατικών μεταστάσεων-εμφυτεύσεων και αφαιρέθηκαν επίσης ρομποτικά από τον Δρ. Βασίλη Πουλάκη.

Η μετεγχειρητική πορεία του ασθενούς ήταν άριστη, χωρίς καμία επιπλοκή, και η ανάρρωση επίσης ταχεία.

Η μετεγχειρητική βιοψία έδειξε ότι επρόκειτο για νεφροκυτταρικό καρκίνωμα μέγιστης διαμέτρου 14,5 εκατοστά, το οποίο αφαιρέθηκε πλήρως με αρνητικά χειρουργικά όρια. Ευτυχώς για τον ασθενή τα ογκίδια του ήπατος ήταν καλοήθη αδενώματα και όχι μεταστάσεις από τον καρκίνο του νεφρού.

martiries 01

martiries 02

martiries 03

martiries 04